MSCT图像后处理技术在肋骨骨折畸形愈合认定中的应用  | 
		
| 葛静晨, 尚敏, 姚明阳, 韦铭菲, 史俊展, 姚泽伟, 时佳音, 李凡 | 
| 
				 Application of MSCT Image Post-Processing Techniques in the Identification of Rib Fracture Malunion  | 
		
| Jing-chen GE, Min SHANG, Ming-yang YAO, Ming-fei WEI, Jun-zhan SHI, Ze-wei YAO, Jia-yin SHI, Fan LI | 
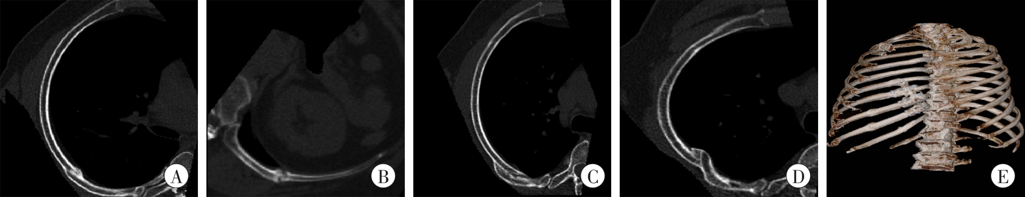
| 图1 不同类型的肋骨骨折畸形愈合 A:断端错合1/3以上(CPR图像);B:断端分离(CPR图像);C:断端重叠(CPR图像);D:断端成角(CPR图像);E:骨桥形成(VR图像)。  | 
	
| Fig. 1 Different types of rib fracture malunion | 
	
			 
		 |