MSCT图像后处理技术在肋骨骨折畸形愈合认定中的应用  | 
		
| 葛静晨, 尚敏, 姚明阳, 韦铭菲, 史俊展, 姚泽伟, 时佳音, 李凡 | 
| 
				 Application of MSCT Image Post-Processing Techniques in the Identification of Rib Fracture Malunion  | 
		
| Jing-chen GE, Min SHANG, Ming-yang YAO, Ming-fei WEI, Jun-zhan SHI, Ze-wei YAO, Jia-yin SHI, Fan LI | 
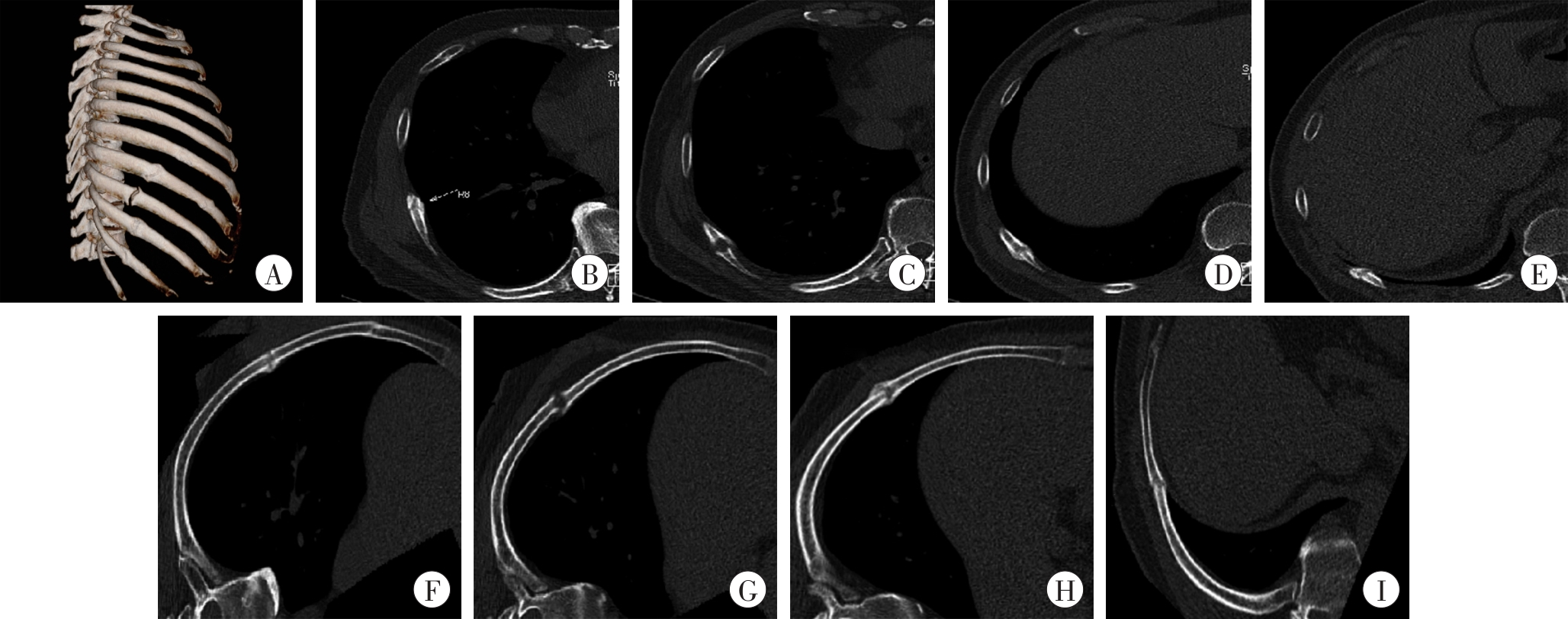
| 图3 3种图像后处理技术的比较 男性患者,59岁,胸部外伤5个月余。A:右侧肋骨VR图像;B:右侧第8肋骨MPR图像;C:右侧第9肋骨MPR图像;D:右侧第10肋骨MPR图像;E:右侧第11肋骨MPR图像;F:右侧第8肋骨CPR图像;G:右侧第9肋骨CPR图像;H:右侧第10肋骨CPR图像;I:右侧第11肋骨CPR图像。  | 
	
| Fig. 3 Comparison of three image post-processing techniques | 
	
			 
		 |