3种新精神活性物质的结构确证及未知毒品的定性鉴定  | 
		
| 聂宗炀, 胡伟, 李玲玉, 章青波, 黄欣, 李波 | 
| 
				 Structure Confirmation of Three New Psychoactive Substances and Qualitative Identification of Unknown Substances  | 
		
| Zong-yang NIE, Wei HU, Ling-yu LI, Qing-bo ZHANG, Xin HUANG, Bo LI | 
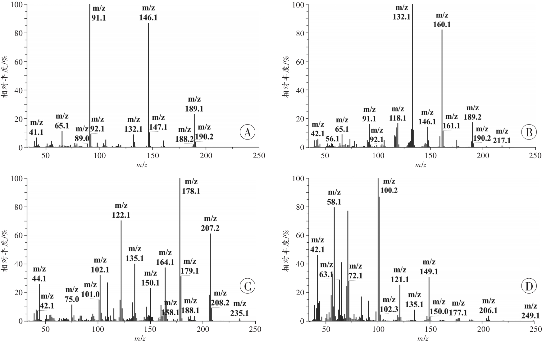
| 图3 化合物A、B、C、D的GC-MS谱图 A:化合物A;B:化合物B;C:化合物C;D:化合物D。  | 
	
| Fig. 3 GC-MS spectra of compound A, B, C and D | 
	
			 
		 |