大鼠急性过劳死模型的建立及其代谢-功能-形态学变化 |
| 刘霞, 李嘉敏, 郑永霞, 肖旭东, 于晓军 |
|
Establishment of an Acute Karoshi Rat Model and Its Metabolic, Functional and Morphological Changes |
| Xia LIU, Jia-min LI, Yong-xia ZHENG, Xu-dong XIAO, Xiao-jun YU |
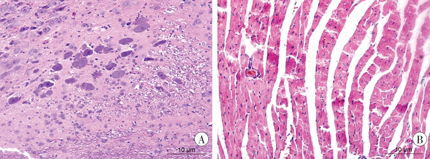
| 图2 急性过劳死组大鼠的组织病理学改变(HE×40) A:脑干;B:左心室心肌。 |
| Fig. 2 Histopathological changes of rats in acute Karoshi group (HE×40) |
|