面部锐器伤后动眼神经损伤因果关系鉴定1例
刘瑞珏, 陈捷敏

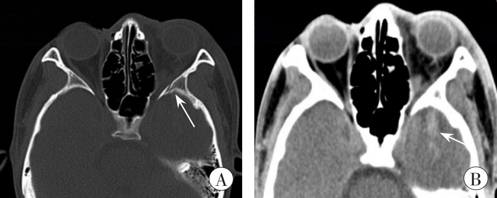
图3 受伤当日的头颅、眼眶CT图像
A:左眼眶外侧壁近眶尖处骨折(箭头所示);B:左颞叶脑挫裂伤(箭头所示)
Fig. 3 CT images of head and orbit on the day of injury