手舟骨、月骨陈旧伤合并桡骨远端骨折残疾等级及因果关系鉴定1例
1.
2.
3.
通讯作者: 刘京平,男,主检法医师,主要从事法医临床鉴定;E-mail:1621947186@qq.com程亦斌,男,主任法医师,主要从事法医临床鉴定和研究;E-mail:chengyb@ssfjd.cn
编委: 高东
收稿日期: 2024-05-11
Received: 2024-05-11
作者简介 About authors
于凯丽(1992—),女,主检法医师,主要从事法医临床鉴定;E-mail:wflcsfjds@163.com
关键词:
本文引用格式
于凯丽, 谢颖颖, 刘京平, 程亦斌.
1 案 例
1.1 简要案情
王某,女,54岁,某年11月29日,因道路交通事故伤及左尺桡骨,入住当地人民医院治疗。伤后第3年2月10日,当地人民法院委托本鉴定所对王某的残疾等级,及其左手舟骨、月骨陈旧伤且月骨坏死的自身疾病与本次事故所致伤残之间的因果关系进行法医临床鉴定。
1.2 病史摘要
当地人民医院住院病历记载:某年11月30日,王某因“左尺桡骨远端骨折1 d”入院。6年前有左腕部外伤史。查体:神志清;右侧胸部有压痛;左腕部石膏托外固定,左手指感觉、活动及血运可;左踝部见皮肤擦伤,踝关节活动轻度受限。于12月7日行“左桡骨远端骨折切开复位钢板内固定术”,术中见左桡骨远端粉碎性骨折,远端骨块塌陷、重叠移位,清理淤血及组织碎屑,将骨折复位以钢板固定,见骨折复位好,固定牢固。术后第2天拍片复查,桡骨远端骨折复位固定满意。术后给予对症治疗,于12月15日出院。出院情况:一般情况较好,手术切口疼痛轻微;外固定松紧适宜,手指感觉、活动及血运良好。出院诊断:左尺桡骨远端骨折,肋骨骨折(左侧第3、9肋骨,右侧第3、6肋骨),左下肢软组织损伤。
1.3 法医学检验
1.3.1 体格检查
中年女性,神志清,步入检查室,查体合作。自述9年前有左腕部外伤史。左腕部桡掌侧见一5.5 cm纵向手术瘢痕,愈合良好。左腕关节被动活动度:掌屈30°、背屈50°、桡偏15°、尺偏25°;右腕关节被动活动度:掌屈60°、背屈60°、桡偏29°、尺偏40°。余常规检查未见明显异常。
1.3.2 阅片所见
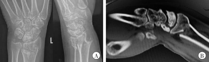
某年11月29日(受伤当日)当地人民医院X线片(图1A)示:左桡骨远端骨质中断,断端移位并成角,骨折远端向桡侧、背侧移位,近端向掌侧移位,尺骨茎突撕脱骨折。左手舟骨及月骨形态均欠规整。周围软组织区肿胀。
图1
图1
受伤当日影像学检查结果
A:X线片;B:CT片。
Fig. 1
Imaging examination results on the day of injury
某年11月29日(受伤当日)当地人民医院CT片(图1B)示:左桡骨远端及尺骨茎突骨质中断,桡骨断端错位,周围软组织肿胀。左腕月骨骨折线累及关节面、边缘骨质硬化、有囊变,月骨与腕骨关节面塌陷,月骨与桡骨关节面未见明显塌陷;左手舟骨骨质欠规整,考虑左手舟骨及月骨陈旧性骨折并月骨无菌性坏死。
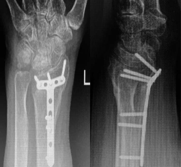
次年3月4日当地人民医院X线片(图2)示:左桡骨远端、尺骨茎突骨折复查,桡骨内固定中,断端对位对线好,尺骨茎突骨折断端对位对线可,局部可见骨痂形成,腕关节间隙变窄,周围软组织略肿胀。
图2
1.4 鉴定意见
王某因交通事故导致左腕关节功能障碍(功能丧失25%以上),构成十级残疾;某年11月29日的交通伤为其左腕关节功能障碍的主要原因,原因力大小建议为60%~70%;王某9年前左手舟骨、月骨骨折为左腕关节功能障碍的次要原因,原因力大小建议为30%~40%。
2 讨 论
腕关节是典型的椭圆关节,由手舟骨、月骨和三角骨的近侧关节面作为关节头,桡骨的腕关节面和尺骨头下方的关节盘作为关节窝而构成,可做屈、伸、展、收及环转运动[1]。桡骨或手舟骨骨折对腕关节功能的影响程度,目前尚无定论,因此,当遇到类似本例中手舟骨陈旧性骨折并月骨无菌性坏死与当前外伤造成的桡骨远端骨折同时存在时,很难确定两者与损伤结局的因果关系。
2.1 损伤认定
STAHL将月骨无菌性坏死按程度分为5个阶段[2]:Ⅰ度,月骨有细小骨折线;Ⅱ度,骨折线掌面出现脱钙,骨折线变宽;Ⅲ度,骨折线背面出现骨质硬化;Ⅳ度,骨折线两侧硬化范围扩大,月骨塌陷,有继发的骨折;V度,桡腕关节面有创伤性关节炎表现。月骨坏死的临床表现有[2]:(1)腕部僵硬,活动受限,尤以背伸活动受限显著;(2)疼痛,可向前臂放射,呈持续性疼痛,疼痛多在确诊前2~6个月即出现;(3)握力降低,仅及正常的47.4%~52.0%;(4)少数病例出现腕管综合征的症状。早期X线片可为阴性,之后可见月骨密度增加或有斑点现象,继续进展可表现为月骨塌陷呈压扁状[2]。本例中,王某自述9年前有腕部外伤史,病历资料显示其有左手舟骨、月骨陈旧性骨折并月骨无菌性坏死,阅此次交通事故受伤当日影像学资料,见左腕月骨骨折线累及关节面、边缘骨质硬化、有囊变,月骨与腕骨关节面塌陷,月骨与桡骨关节面未见明显塌陷。根据上述分型,本例王某的月骨无菌性坏死已达Ⅳ度。综上所述,9年前左腕部外伤史导致左手舟骨、月骨骨折并月骨无菌性坏死,可以造成被鉴定人出现腕部僵硬、关节活动受限的症状。因此,本次鉴定中需要就被鉴定人既往损伤对目前腕关节功能的影响程度进行必要分析。
桡骨远端骨折是指距桡骨远端关节面3 cm以内的骨折,这个部位是松质骨与密质骨的交界处,为解剖薄弱处,一旦遭受外力,容易骨折[3]。桡骨远端骨折根据受伤的机制不同分为伸直型骨折、屈曲型骨折、关节面骨折伴腕关节脱位[3]。其中伸直型骨折多为前臂旋前时腕关节处于背伸位、手掌着地而受伤[3],其临床表现为伤后局部疼痛、肿胀,可出现典型畸形姿势,局部压痛明显,腕关节活动障碍;X线片可见骨折远端向桡侧、背侧移位,近端向掌侧移位;可同时伴有下尺桡关节脱位及尺骨茎突骨折[3]。本例阅被鉴定人此次交通事故受伤当日影像学资料,符合伸直型桡骨远端骨折的影像学特征,复查X线片见左腕关节间隙变窄,此次交通事故外伤可造成腕关节功能障碍。
2.2 因果关系分析
根据现有资料,无法明确伤者9年前(即此次交通事故前)的腕关节功能障碍程度,仅能明确此次交通事故所致腕关节功能障碍程度,因此,无法通过对比此次交通事故损伤前后的腕关节功能障碍程度进行因果关系评定。9年前外伤所致手舟骨陈旧性骨折并月骨无菌性坏死及此次交通事故所致桡骨远端骨折均可造成明显的腕关节功能障碍(功能丧失25%以上),因此,可以利用既往案例中两类损伤分别造成腕关节功能障碍程度的流行病学调查结果进行分析,辅助推测此案例中损伤所造成的腕关节功能丧失程度,以达到客观评价因果关系的目的。
对2018—2024年中国裁判文书网(
笔者认为:(1)判断桡骨远端骨折对腕关节功能的影响,首先应结合桡骨远端骨折的程度。可以根据临床上使用的AO分型来确定,其分为A、B、C三型,分别代表关节外骨折、部分关节内骨折、完全关节内骨折[4]。可见随着AO分型复杂程度的增加,对关节的涉及范围和程度均加大,同时对腕关节功能的影响也越大[4]。本例桡骨远端骨折AO分型为C1型(关节内简单骨折,无干骺端粉碎性骨折),能够造成较为明显的腕关节功能障碍。(2)判断手舟骨、月骨骨折和月骨无菌性坏死对腕关节功能的影响,应结合手舟骨、月骨骨折和月骨无菌性坏死的程度。例如,对于月骨骨折后无菌性坏死程度为Ⅰ~Ⅲ度者,由于关节面尚未发生明显改变,可认为对腕关节功能的影响较小;而对于月骨骨折后无菌性坏死程度为Ⅳ~Ⅴ度者,因月骨出现塌陷并已直接影响腕关节面,故认为对腕关节功能的影响较大。
因此,结合上述分析,笔者最终判定本例中此次交通事故所致桡骨远端骨折是最终腕关节功能障碍(十级残疾)的主要原因,原因力大小建议为60%~70%,而既往手舟骨、月骨陈旧伤是次要原因,原因力大小建议为30%~40%。
2.3 小结
当桡骨远端骨折与既往手舟骨、月骨陈旧伤同时存在导致腕关节功能障碍时,如何判定本次外伤在损伤结局中的参与程度是一个难点。通过本例,笔者认为外伤与自身疾病的因果关系分析主要从以下几个方面综合考虑:(1)鉴别与认定新鲜损伤与陈旧损伤;(2)详细了解自身既往疾病或损伤的严重程度、分型,分析其对关节活动的影响;(3)结合外伤史、手术史、病史及影像学资料,分析外伤所致骨折类型、愈后发展变化及骨折部位对关节功能的影响;(4)对当前损伤结局作出客观准确的判断,正确测量并评估后遗功能障碍。
在判断因果关系时,了解损伤影响功能障碍的解剖学基础是相当重要的,损伤严重程度与功能障碍程度相对应,例如利用AO分型来判断该关节骨折类型。同时,通过对以往案例的流行病学分析,在一定程度上能够辅助分析类似案例的因果关系,但需要注意的是,由于统计的信息具有局限性,不能仅依靠统计结果来判定因果关系,要同时结合伤情的特殊情况,如致伤机制、严重程度、愈后情况等,并分析解剖学基础,以获得公正可靠的鉴定意见。
参考文献
/
| 〈 |
|
〉 |
