法医学杂志 ›› 2025, Vol. 41 ›› Issue (6): 545-551.DOI: 10.12116/j.issn.1004-5619.2023.431104
杨锦萱1(
), 田栋安1, 唐欣雨1, 赵展英1, 荆奚悦1, 王冬梅1, 田小菲1,2(
)
Jin-xuan YANG1(
), Dong-an TIAN1, Xin-yu TANG1, Zhan-ying ZHAO1, Xi-yue JING1, Dong-mei WANG1, Xiao-fei TIAN1,2(
)
摘要:
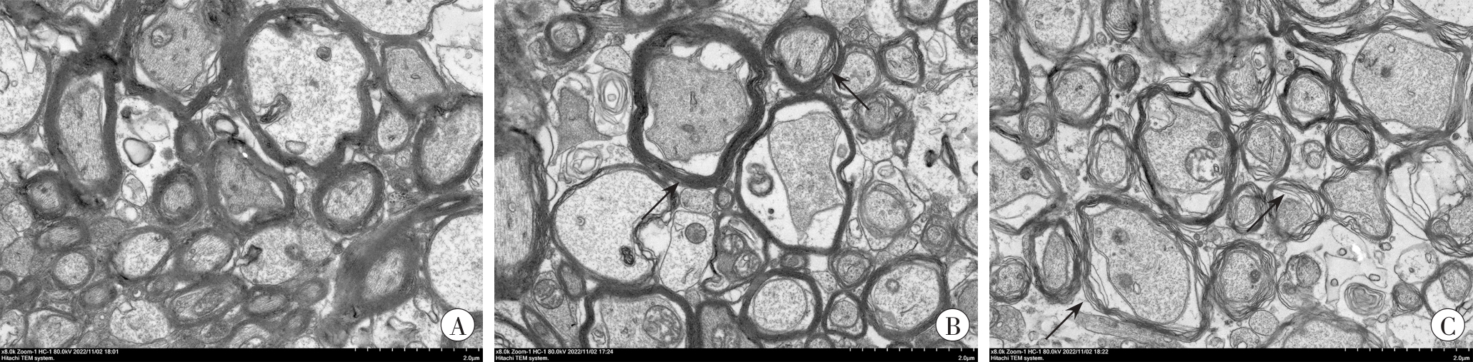
目的 探讨一氧化碳(carbon monoxide,CO)中毒致小鼠脑白质损伤部位神经细胞铁代谢变化及肠道菌群紊乱引起机体铁离子吸收异常的可能机制。 方法 将C57BL/6小鼠置于密闭广口瓶中给予CO气体制作CO中毒小鼠模型,正常对照组予相同处理但不给予CO气体。对小鼠脑白质部位取材,观察脑白质的形态学改变,通过免疫组织化学和蛋白质印迹法分析转铁蛋白(transferrin,TRF)和谷胱甘肽过氧化物酶4(glutathione peroxidase 4,GPX4)的表达变化。同时,于小鼠染毒后3 d和7 d收集粪便,进行16S rRNA测序,分析CO中毒引起的小鼠肠道菌群变化。 结果 电镜结果显示,CO中毒导致小鼠脑白质出现明显脱髓鞘,TRF表达升高(P<0.05),GPX4表达降低(P<0.05)。CO中毒导致小鼠肠道菌群分布异常,致肠组织铁离子吸收异常。 结论 CO中毒可导致脑白质神经细胞损伤,进而导致脱髓鞘病变,也可引起小鼠肠道菌群分布和铁离子吸收异常。
中图分类号: