面部锐器伤后动眼神经损伤因果关系鉴定1例
编委: 高东
收稿日期: 2024-09-09
| 基金资助: |
|
Received: 2024-09-09
作者简介 About authors
刘瑞珏(1970—),主任法医师,主要从事视觉功能客观评定和眼损伤的法医学鉴定;E-mail:liurj@ssfjd.cn
关键词:
本文引用格式
刘瑞珏, 陈捷敏.
1 案 例
1.1 简要案情及病史摘要
张某,男,17岁,某年9月15日,被他人用匕首砍刺肩部、颈部、左手及面部,于伤后2 h就诊。查体:急性病容,意识清,轻度烦躁,GCS评分15分,左侧瞳孔直径6 mm,对光反射消失,右侧瞳孔直径3 mm,对光反射灵敏;双侧额纹对称,两侧鼻唇沟对称,伸舌居中;左侧鼻翼部见长约5 cm的条形创口,向外延伸至左侧下眼睑,未见明显污染,可见部分眼眶脂肪组织;颈部见2处刀刺伤,颈软,无抵抗;左手小鱼际见“V”形创口,长约6 cm;四肢肌力5级,肌张力正常。头部CT示:左颞叶底部脑挫裂伤,颞叶血肿,蛛网膜下腔出血;左眼眶外侧壁骨折。临床予清创缝合等治疗。出院诊断:左颞叶脑挫裂伤伴血肿形成,蛛网膜下腔出血,左眼眶外侧壁骨折,左眼损伤,颈部外伤,多处软组织损伤。
伤后6年病历:左眼流泪、活动受限6年。眼部检查:右眼视力1.0,左眼视力0.6;左侧下眼睑距睑缘3 cm处可见陈旧性瘢痕,泪小点正常,泪道冲洗不通畅,完全反流;左眼球上、下转受限;左眼角膜明,瞳孔圆、散大,直径5 mm,对光反射消失,晶体透明。诊断:左侧动眼神经损伤,左眼泪道阻塞。
既往已就全身瘢痕累计长度评定为轻伤二级,当时未对左眼部外伤进行人体损伤程度鉴定。伤后8年,办案机关委托本院对外伤与眼部不良后果之间的因果关系进行鉴定。
1.2 法医学鉴定
1.2.1 体格检查
神清,对答切题。鼻背部至左侧眶下区见长3.7 cm线形皮肤瘢痕,鼻背瘢痕至左眼内眦之间可触及皮下纵行条状硬结。颈项部、左手尺侧见条状皮肤瘢痕。
1.2.2 眼部检查
左眼内眦向颞侧移位,并向前方突出(图1),左眼球上、下转受限,外转正常。泪小点位置、形态无异常,泪道冲洗示左眼上泪小管通畅、下泪小点原位反流。右眼视力0.9,左眼裸眼视力0.5、矫正视力0.8。双眼角膜明,前房中深,虹膜纹理清,瞳孔圆;左眼瞳孔大,直接、间接对光反射均迟钝;双眼晶体清,双眼底视盘边界清,色形正常。眼前节裂隙灯-光学相干断层扫描(slit lamp-optical coherence tomography,SL-OCT)示:右眼瞳孔直径2.8 mm,左眼瞳孔直径4.5 mm。
图1
审阅受伤当日损伤情况,面部照片(图2)示:左眼上下睑肿胀、青紫,左眼内眦肿胀,鼻背部左侧有一舌形皮瓣状已缝合创,基底部向上方,缝线在位,与其相延续的左侧眶下区有一斜行线形已缝合创。
图2
1.2.3 阅片所见
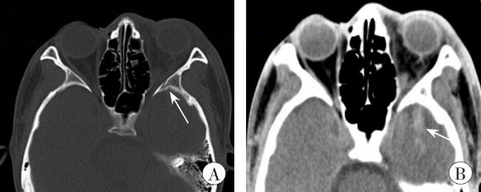
受伤当日头颅、眼眶CT示:左眼眶周软组织肿胀,左眼眶外侧壁近眶尖处骨折,左侧眶尖血肿,左颞叶条状高密度影,提示左颞叶脑挫裂伤(图3)。
图3
图3
受伤当日的头颅、眼眶CT图像
A:左眼眶外侧壁近眶尖处骨折(箭头所示);B:左颞叶脑挫裂伤(箭头所示)
Fig. 3
CT images of head and orbit on the day of injury
1.3 鉴定意见
张某面部刺伤与其后遗左眼部损害后果之间存在直接因果关系,外伤起完全作用。
2 讨 论
2.1 关于面部皮肤软组织损伤
匕首是典型的刺器,刀身具有一定的长度且有锋利的尖端和锐利的刃缘,所致损伤易形成较深的创道。刺创通常创口小而创腔深,可伤及深部组织或器官。刺创创道的方向与刺器刺入的方向一致,创道入口具有锐器创的特点,通常表现为创缘整齐、周缘皮肤无表皮剥脱及皮下出血[1]。
本例张某受伤当天鼻背部左侧有一舌形皮瓣状的已缝合创,与其相延续的左侧眶下区有一斜行已缝合创,创缘整齐,周缘未见表皮剥脱及皮下出血,具有锐器创的特点。另外,张某左眼上下睑青紫、肿胀、难以睁开伴左眼内眦肿胀,类似于钝性外力作用特征,但本例中张某左眼部未曾遭受钝性外力作用。
2.2 关于左眼部损伤
本例在鉴定时检见张某左眼内眦向颞侧移位,并向前方突出,表明内眦韧带断裂。根据张某受伤当日面部照片所示的缝合创形态,鼻背部左侧缝合创呈舌形皮瓣状,基底部向上方,可推断该软组织创系锐器由下向上作用形成。结合鉴定时查体在鼻背瘢痕至左眼内眦之间可触及皮下纵行条状硬结,可以判断此系受伤当时潜行的软组织创道后遗表现。
动眼神经经眶上裂的中间部分进入眼眶,在外直肌的两条肌腱之间进入眶尖部总腱环和肌锥内部,其上支到达上直肌和上睑提肌,下支到达内直肌、下直肌和下斜肌,下支发出分支支配瞳孔括约肌和睫状肌[2]。动眼神经上支损伤可引起上睑下垂和眼球运动受限,下支损伤可引起瞳孔散大和眼球运动受限。本例中张某伤后即有左眼瞳孔散大,受伤当日CT示左眼眶周软组织肿胀、左侧眶尖血肿,表明伤后即有动眼神经损伤的表现。至此可以推断出致伤物(匕首)刺入时的走行路径,即匕首刃锋潜行达内眦,先造成内眦韧带断裂,后继续前行达眶尖部至颅内,由于眶尖部有动眼神经、视神经等穿行,故可造成这些组织结构的损伤。另外,本例未见上睑下垂,因此属于动眼神经不完全性损伤。
2.3 关于颅脑损伤
脑损伤分为原发性损伤和继发性损伤两大类。原发性脑损伤包括脑震荡和脑挫裂伤。锐器前端尖锐锋利,容易穿透颅骨、脑膜进入脑组织,形成的创道较整齐,损伤主要限于局部,对周围影响较小[3]。本例中颅脑损伤的致伤方式在鉴定实践中亦较为少见,头部(不含面部)无外力作用点但存在脑挫裂伤,CT显示左眶尖后方左颞叶脑挫裂伤呈条状出血,与匕首刺创形态类似,应系匕首刺穿眶外壁后直接刺入左颞叶所致。
2.4 小结
本例由于张某伤后病历中除了左眼瞳孔散大外未见其他眼部检查记录,对鉴定缺乏充分的提示作用,如果鉴定人忽略眼部检查,难免遗漏对内眦韧带断裂的认定,因此也难以解释左眼溢泪、左侧瞳孔散大、左眼球运动受限的原因。本例鉴定时,查体发现左眼内眦韧带断裂、鼻背瘢痕至左眼内眦之间皮下条状硬结,为面部软组织伤与眶内损伤、脑挫裂伤之间的相关性提供了证据纽带。
本例系匕首刺伤鼻背部软组织,经皮下潜行达内眦,进一步向内达眶尖、刺穿眶壁骨质直达颅内,形成左眼内眦韧带断裂、左眼下泪小管损伤、左侧眶尖血肿、左眼眶外侧壁近眶尖处骨折,以及与眶壁骨折毗邻的左颞叶脑挫裂伤等一系列创伤性改变,锐器的走行路径与损伤后果吻合。此外,本例动眼神经不完全性损伤,有瞳孔散大及眼球运动受限而无上睑下垂,系匕首行径中未损伤支配上睑提肌的分支,也反映了锐器伤的特点,损伤限于局部,对周围影响较小[3]。
参考文献
/
| 〈 |
|
〉 |
