MSCT图像后处理技术在肋骨骨折畸形愈合认定中的应用
1.
2.
3.
4.
Application of MSCT Image Post-Processing Techniques in the Identification of Rib Fracture Malunion
1.
2.
3.
4.
Received: 2023-07-19
作者简介 About authors
葛静晨(1999—),女,硕士研究生,主要从事法医病理学研究;E-mail:1273858869@qq.com
目的 比较容积再现(volume rendering,VR)、多平面重组(multiplanar reformation,MPR)和曲面重组(curved planar reformation,CPR) 3种图像后处理技术在肋骨骨折畸形愈合认定中的应用价值。 方法 记录75例患者肋骨骨折畸形愈合的类型及数量,比较VR、MPR、CPR对肋骨骨折畸形愈合诊断的灵敏度、特异度、准确率和约登指数,绘制受试者操作特征(receiver operator characteristic,ROC)曲线并计算曲线下面积(area under the curve,AUC),比较3种图像后处理技术对不同类型肋骨骨折畸形愈合的检出率。 结果 75例患者共有243处肋骨骨折畸形愈合。VR、MPR、CPR对肋骨骨折畸形愈合诊断的灵敏度分别为52.67%、79.84%、91.36%,特异度分别为99.58%、97.89%、99.15%,准确率分别为83.66%、91.76%、96.51%,约登指数分别为0.52、0.78、0.91,AUC分别为0.761、0.889、0.953。与VR相比,MPR在断端错合1/3以上、断端重叠、断端成角、骨桥的检出数量上差异有统计学意义(P<0.05);与VR相比,CPR在肋骨骨折畸形愈合各分型的检出数量上差异有统计学意义(P<0.05);与MPR相比,CPR在断端错合1/3以上、断端分离、骨桥的检出数量上差异有统计学意义(P<0.05)。 结论 3种图像后处理技术对肋骨骨折畸形愈合的认定均具有重要意义,尤其是CPR对肋骨骨折畸形愈合的诊断效能高,可作为肋骨骨折畸形愈合法医临床鉴定的主要后处理技术。
关键词:
Objective To compare the application value of three image post-processing techniques volume rendering (VR), multiplanar reformation (MPR) and curved planar reformation (CPR) in the identification of rib fracture malunion. Methods The types and numbers of rib fracture malunion in 75 patients were recorded, and the sensitivity, specificity, accuracy and Youden index of VR, MPR and CPR in the diagnosis of rib fracture malunion were compared. Receiver operator characteristic (ROC) curve was drawn and area under the curve (AUC) was calculated, and the detection rates of three image post-processing techniques for different types of rib fracture malunion were compared. Results A total of 243 rib fractures were malunion in 75 patients. The diagnostic sensitivity of VR, MPR and CPR for rib fracture malunion was 52.67%, 79.84% and 91.36%, the specificity was 99.58%, 97.89% and 99.15%, the accuracy was 83.66%, 91.76% and 96.51%, the Youden index was 0.52, 0.78 and 0.91, the AUC was 0.761, 0.889 and 0.953, respectively. Compared with VR, there were statistically significant differences in the number of broken rib end misalignment over 1/3, broken rib end overlap, broken rib end angulation and intercostal bridge detected in MPR (P<0.05). Compared with VR, there was a statistically significant difference in the number of different types of rib fracture malunion detected by CPR (P<0.05). Compared with MPR, there were statistically significant differences in the number of broken rib end misalignment over 1/3, broken rib end separation and intercostal bridge detected in CPR (P<0.05). Conclusion The three image post-processing techniques are of great significance for the identification of rib fracture malunion. Especially CPR is highly effective in the diagnosis of rib fracture malunion, and can be used as the main post-processing technique for forensic clinical identification of rib fracture malunion.
Keywords:
本文引用格式
葛静晨, 尚敏, 姚明阳, 韦铭菲, 史俊展, 姚泽伟, 时佳音, 李凡.
GE Jing-chen, SHANG Min, YAO Ming-yang, WEI Ming-fei, SHI Jun-zhan, YAO Ze-wei, SHI Jia-yin, LI Fan.
多层螺旋计算机体层成像(multi-slice spiral computed tomography,MSCT)图像后处理技术是将原始数据通过数学算法进行重组,利用图像重组得到多方位、立体的图像[3]。MSCT后处理功能空间分辨率高,可以观察直径小于1.0 mm的细微结构[4],所以能清晰地显示肋骨的细微损伤及断端情况,在肋骨骨折畸形愈合认定中应用价值较高。常见的后处理技术包括容积再现(volume rendering,VR)、多平面重组(multiplanar reformation,MPR)和曲面重组(curved planar reformation,CPR)等。本研究拟通过比较VR、MPR和CPR 3种图像后处理技术对肋骨骨折畸形愈合的诊断效能,探讨3种图像后处理技术在肋骨骨折畸形愈合认定中的应用价值。
1 材料与方法
1.1 临床资料
本研究中所有受试者的CT检查都是以临床诊疗及法医学鉴定需求为目的。纳入标准:(1)有明确的胸部外伤史;(2)外伤时间>3个月;(3)CT图像清晰,无运动伪影,可用于各种图像后处理技术;(4)有损伤当时的影像学资料证明其符合完全性骨折,且断端有明显移位。排除标准:(1)先天性胸廓畸形或肋骨发育异常者;(2)有胸壁手术史;(3)肋骨存在原发、继发肿瘤;(4)合并严重感染性疾病者。
根据上述要求,回顾性收集2021年6月—2023年6月郑州大学附属洛阳中心医院周山院区医学影像科收治的75例涉及司法鉴定的肋骨骨折畸形愈合病例,其中男性47例,女性28例,年龄30~73岁,平均年龄(58.55±9.74)岁。本研究已获得洛阳市中心医院医学伦理委员会的审批(审批文号:LWLL-2023-07-21-02)。
1.2 CT检查
采用Emotion 16层螺旋CT(德国Siemens公司)扫描获得图像。扫描参数:管电压110 kV,管电流45~145 mA,旋转时间600 ms,像素矩阵512×512,薄层重建层厚1.5 mm。将扫描原始图像存入DICOM数据库,然后通过计算器输入syngo MultiModality工作站(
1.3 研究方法
由两名具有专业技术高级职称的影像科医师对各受试者全部影像学资料(含VR、CPR、MPR)进行判读,以两人的一致性意见为准,当两人的意见出现分歧时,另请一名主任医师进行判读,按照少数服从多数的原则进行认定,同时统计肋骨骨折畸形愈合的数量并进行分类。再由两名从业5年以上的影像科医师分别进行盲法阅片,第一组对患者VR图像进行认定,第二组对患者MPR图像进行认定,第三组对患者CPR图像进行认定;若两名医师认定结果一致,则计为肋骨骨折畸形愈合,若两名医师认定结果不一致,则不计为肋骨骨折畸形愈合。
肋骨骨折畸形愈合认定标准[1]:(1)完全性骨折且骨折断端对位、对线不佳;(2)骨折处骨痂修复完成,无进一步愈合迹象;(3)愈合后的骨折断端有错合、成角、重叠、分离、旋转或肋骨间骨桥形成等影像学表现。
1.4 统计学方法
应用SPSS 26.0软件(美国IBM公司)进行资料录入、整理及统计分析。采用Cohen’s Kappa系数分析两名影像科医师观察VR、MPR和CPR图像进行肋骨骨折畸形愈合认定的一致性。一般认为,Cohen’s Kappa系数<0.4时表明一致性差;0.4~0.75时表明一致性较可,>0.75时表明有很好的一致性[5]。采用卡方检验比较3种图像后处理技术对肋骨骨折畸形愈合及其分类的诊断效能,并计算灵敏度、特异度、准确率和约登指数。绘制受试者操作特征(receiver operator characteristic,ROC)曲线评价3种图像后处理技术对肋骨骨折畸形愈合的诊断能力,并计算曲线下面积(area under the curve,AUC),其面积大小表示方法检验性能的优劣,AUC值越接近1,说明该方法性能越好,反之,AUC值越接近0,说明该方法性能越差。采用Z检验比较3种图像后处理技术的AUC之间差异是否具有统计学意义。检验水准α=0.05。
约登指数表示检验方法识别患者与非患者的能力,约登指数=灵敏度+特异度-1,约登指数越大,该检验方法真实性越高。
2 结果
2.1 肋骨骨折畸形愈合的数量
75例患者的全部影像学资料经两名专业技术高级职称影像科医师判断共有716处肋骨骨折,其中包含243处肋骨骨折畸形愈合。
243处肋骨骨折畸形愈合中,断端错合1/3以上的有92处(37.86%),断端分离的有74处(30.45%),断端重叠的有49处(20.16%),断端成角的有17处(7.00%),骨桥形成的有11处(4.53%),没有断端旋转的病例(图1)。
图1
图1
不同类型的肋骨骨折畸形愈合
A:断端错合1/3以上(CPR图像);B:断端分离(CPR图像);C:断端重叠(CPR图像);D:断端成角(CPR图像);E:骨桥形成(VR图像)。
Fig. 1
Different types of rib fracture malunion
2.2 一致性检验
采用Cohen’s Kappa系数分析两名影像科医师观察VR、MPR和CPR图像对肋骨骨折畸形愈合认定的一致性。结果显示,VR、MPR、CPR图像对应的Cohen’s Kappa系数分别为0.866、0.908、0.924,说明两名影像科医师对肋骨骨折畸形愈合认定的一致性很好。
2.3 3种图像后处理技术对肋骨骨折畸形愈合诊断效能的比较
VR检出128处肋骨骨折畸形愈合,MPR检出194处肋骨骨折畸形愈合,CPR检出222处肋骨骨折畸形愈合(表1)。
表1 不同图像后处理技术对肋骨骨折畸形愈合的诊断结果(处)
Tab. 1
| 后处理技术 | 畸形愈合 | 认定结果 | |
|---|---|---|---|
| 阳性 | 阴性 | ||
| VR | 阳性 | 128 | 2 |
| 阴性 | 115 | 471 | |
| MPR | 阳性 | 194 | 10 |
| 阴性 | 49 | 463 | |
| CPR | 阳性 | 222 | 4 |
| 阴性 | 21 | 469 | |
VR诊断肋骨骨折畸形愈合的灵敏度、特异度、准确率和约登指数分别为52.67%、99.58%、83.66%、0.52,MPR诊断肋骨骨折畸形愈合的灵敏度、特异度、准确率和约登指数分别为79.84%、97.89%、91.76%、0.78,CPR诊断肋骨骨折畸形愈合的灵敏度、特异度、准确率和约登指数分别为91.36%、99.15%、96.51%、0.91。与VR及MPR相比,CPR诊断肋骨骨折畸形愈合的灵敏度、准确率及约登指数较高,因此其诊断效能最高(表2)。
表2 不同图像后处理技术对肋骨骨折畸形愈合的诊断效能
Tab. 2
| 后处理技术 | 灵敏度/% | 特异度/% | 准确率/% | 约登指数 |
|---|---|---|---|---|
| VR | 52.67 | 99.58 | 83.66 | 0.52 |
| MPR | 79.84 | 97.89 | 91.76 | 0.78 |
| CPR | 91.36 | 99.15 | 96.51 | 0.91 |
2.4 ROC曲线及AUC
表3 不同图像后处理技术的AUC
Tab. 3
| 后处理技术 | AUC | 标准误 | P值 | 95%置信区间 | |
|---|---|---|---|---|---|
| 下限 | 上限 | ||||
| VR | 0.761 | 0.021 | <0.05 | 0.719 | 0.803 |
| MPR | 0.889 | 0.016 | <0.05 | 0.857 | 0.920 |
| CPR | 0.953 | 0.011 | <0.05 | 0.931 | 0.974 |
图2
图2
不同图像后处理技术的ROC曲线
Fig. 2
ROC curve of different imagepost-processing techniques
2.5 3种图像后处理技术对不同类型肋骨骨折畸形愈合检出数量的比较
表4 不同图像后处理技术对不同类型肋骨骨折畸形愈合检出数量的比较 ([n(%)])
Tab. 4
| 后处理技术 | 断端错合1/3以上 (N=92) | 断端分离 (N=74) | 断端重叠 (N=49) | 断端成角 (N=17) | 骨桥 (N=11) | 合计 (N=243) |
|---|---|---|---|---|---|---|
| VR | 33(35.87) | 48(64.86) | 29(59.18) | 7(41.18) | 11(100) | 128(52.67) |
| MPR | 74(80.43)1) | 60(81.08) | 42(85.71)1) | 15(88.24)1) | 3(27.27)1) | 194(79.84)1) |
| CPR | 88(95.65)1)2) | 73(98.65)1)2) | 47(95.92)1) | 14(82.35)1) | 0(0)1)2) | 222(91.36)1)2) |
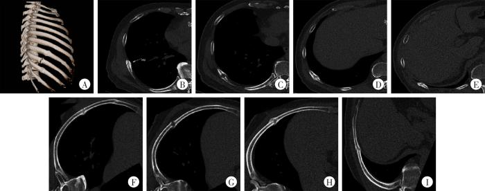
图3
图3
3种图像后处理技术的比较
男性患者,59岁,胸部外伤5个月余。A:右侧肋骨VR图像;B:右侧第8肋骨MPR图像;C:右侧第9肋骨MPR图像;D:右侧第10肋骨MPR图像;E:右侧第11肋骨MPR图像;F:右侧第8肋骨CPR图像;G:右侧第9肋骨CPR图像;H:右侧第10肋骨CPR图像;I:右侧第11肋骨CPR图像。
Fig. 3
Comparison of three image post-processing techniques
3 讨论
随着图像后处理技术的快速发展和广泛应用,肋骨骨折畸形愈合的诊断效果得到明显提高,常用的图像后处理技术有VR、MPR、CPR等。VR后处理技术利用虚拟照明效应和伪彩技术调整透明度和色彩,将多个平面图像重组成三维胸廓图像并去除遮盖的肩胛骨、胸骨及锁骨等,得到肋骨的整体观[12]。本研究从灵敏度、约登指数和AUC上看,VR诊断肋骨骨折畸形愈合的效能不甚理想,但VR对肋骨间骨桥的检出率明显高于MPR和CPR,是诊断肋骨间骨桥形成的首选图像后处理技术,究其原因,MPR和CPR图像观察的是单根肋骨,而三维立体的VR图像可以直观、完整地显示所有肋骨,易于检出肋骨间的骨桥。MPR是利用各向同性获得的容积数据进行重组,得到冠状位、矢状位、横断位或任意斜位的断层图像[13]。MPR不仅可以在常规的横断位对肋骨断端进行观察,而且结合冠状位和矢状位图像可进一步明确诊断。不同方位的MPR图像可清晰地显示肋骨断端畸形愈合的情况,并对肋骨骨折畸形愈合的畸形进行定性及分类。横断位MPR易检出断端成角和断端重叠,而冠状位和矢状位MPR图像易检出肋骨间骨桥。相比于VR和CPR,MPR对肋骨骨折畸形愈合的诊断特异度较低,常将肋骨断端细微改变误判成畸形愈合而出现假阳性。MPR对肋骨骨折畸形愈合的诊断灵敏度低于CPR的原因在于MPR易遗漏单根肋骨上存在多处畸形愈合的情况,特别是两处或多处畸形愈合邻近,在阅片时极易漏诊。CPR是沿肋骨走行方向对单根肋骨进行MPR,将弓状三维结构重组成弧形二维图像[14]。CPR图像直观地显示单根肋骨全貌,可以观察到肋骨的细微改变[15]。
本研究结果显示,CPR对肋骨骨折畸形愈合的诊断效能高,其灵敏度、准确率、约登指数和AUC明显高于VR及MPR。CPR一方面可以清晰地显示肋骨骨折畸形愈合的类型、程度及数量,有助于医生和法医对肋骨骨折畸形愈合进行认定;另一方面,CPR可以将目标肋骨图像与其上下相邻肋骨图像进行比对,观察邻近肋骨是否也存在畸形愈合,从而减少漏诊。同时,对于其他图像后处理技术不确定的肋骨骨折畸形愈合,可以通过CPR进行观察和确认,避免漏诊。肋骨骨折畸形愈合的有无及其数量是法医临床鉴定的关键问题,而该问题的解决在很大程度上取决于影像学检查方法的选择和影像科医生的专业水平。本研究选择两名专业技术高级职称影像科医师对各受试者全部影像学资料进行判读,对于两者诊断意见不一致的病例,另外邀请一名主任医师进行阅片,极大地提高了本研究的准确性和可靠性。然而,由于本研究是回顾性分析,所遴选的CT图像样本量较小,存在一定的选择性偏移,因此,本研究亦存在一定的局限性。今后,将适时扩大样本量,进一步比较3种图像后处理技术对不同类型肋骨骨折畸形愈合的检出率。
参考文献
外伤性肋骨骨折法医学鉴定最佳CT复查时间的研究
[D].
Study of the best CT reexamination period for forensic medical identification of adult traumatic rib fracture
[D].
肋骨骨折法医临床学鉴定的初步认识
[J].
Preliminary understanding of forensic clinical identification of rib fracture
[J].
3种CT后处理技术在肋骨骨折诊断中的应用对比研究
[J].
Comparative study of the CT post-processing techniques in diagnosis of rib fracture
[J].
超声与MRI在肩袖损伤中的临床应用价值
[J].
Clinical application value of ultrasound and MRI in rotator cuff injury
[J].
Snapping scapula syndrome due to malunion of rib fractures: A case report
[J].
Surgical treatment of snapping scapula syndrome due to malunion of rib fractures
[J].
《人体损伤致残程度分级》鉴定原则及其实践中有关问题的探讨
[J].
Discussion on the identification principle and related problems in practice of the Classification of the Degree of Disability Caused by Human Injury
[J].
多层螺旋CT及Cardiac 1预设重组模式对肋软骨骨折的诊断价值
[J].
The diagnostic value of MSCT and the preset reconstruction model of Cardiac 1 in costal cartilage fractures
[J].
MSCT三种后处理技术对外伤性肋骨骨折的诊断价值
[J].
Diagnostic value of three post-processing techniques of multi-slice spiral computed tomography (volume reconstruction, two-dimensional multiplanar reconstruction,and bone stretching) for traumatic rib fractures
[J].
薄层螺旋CT扫描在肋骨骨折法医学鉴定中的应用分析
[J].
Application of thin-slice spiral CT scan in forensic identification of rib fractures
[J].
MSCT对压曲型肋骨骨折诊断的法医学意义
[J].
The forensic significance of MSCT in diagnosis of buckle rib fracture
[J].
/
| 〈 |
|
〉 |
