大鼠急性过劳死模型的建立及其代谢-功能-形态学变化
1.
2.
3.
4.
Establishment of an Acute Karoshi Rat Model and Its Metabolic, Functional and Morphological Changes
1.
2.
3.
4.
通讯作者: 于晓军,男,主任法医师,博士研究生导师,主要从事法医学教学、科研及鉴定;E-mail:xjyu@stu.edu.cn
编委: 张吉
收稿日期: 2022-10-28
| 基金资助: |
|
Received: 2022-10-28
作者简介 About authors
刘霞(1997—),女,硕士研究生,主要从事法医病理学和法医临床学科研及鉴定;E-mail:1050077962@qq.com
目的 探讨急性过劳死的发生和死亡机制及其法医学鉴定。 方法 将SD大鼠随机分为对照组15只和实验组45只(急性过劳死组、过劳存活组),建立负重力竭游泳合并睡眠剥夺的重度疲劳模型,记录行为、饮食、体质量、呼吸、心电图、超声心动图观察生理功能。死后解剖取材,HE染色观察病理形态,GC-MS检测血清、心肌、肝物质代谢的变化。 结果 实验组大鼠死亡率达33.3%。心肌中氨基丁酸、花生四烯酸含量降低;血清中尿素含量降低,蛋氨酸和苯丙氨酸含量升高;肝组织中,组氨酸等氨基酸含量升高;血生化丙氨酸转氨酶、天冬氨酸转氨酶、肌酸激酶、肌酸激酶同工酶等升高,葡萄糖和尿酸降低;血清及心、肝组织等能量代谢通路扰动;3 d后实验组大鼠出现心电传导阻滞、室性心律失常。急性过劳死组大鼠出现心室颤动和扑动;超声心动图示射血分数、左心室短轴缩短率下降;心肌颗粒性肿胀、肌质凝集,脑干暗神经元增多;血清尿素、蛋氨酸、苯丙氨酸差异代谢物变化的组合与过劳高度相关,确诊率达90.6%。 结论 急性过劳死可引发多器官代谢-功能-形态联动性变化,死亡机制可能为全身多器官功能失调,特别是中枢性衰竭和心脏性猝死。
关键词:
Objective To investigate the occurrence and mechanism of acute Karoshi and explore its forensic identification. Methods SD rats were divided into the control group (n=15) and experimental groups (n=45, acute Karoshi group and overwork survival group). A severe fatigue model was established by combining forced swimming under load to exhaustion and sleep deprivation. Their daily activities, diets, weight, respiratory functions, electrocardiogram and echocardiography were recorded. After the rats were sacrificed, samples were collected at autopsies. HE staining was used to observe the pathological morphology, and GC-MS was used to detect the changes of substance metabolism in serum, myocardium and liver. Results The mortality rate of the experimental group was 33.3%. There were decreases of aminobutyric acid and arachidonic acid in myocardium tissues, decreases of urea and increases of methionine and phenylalanine in serum. In liver tissues, the content of amino acids sush as histidine increased. The blood biochemical testing showed increases of alanine aminotransferase, aspartate aminotransferase, creatine kinase and creatine kinase isoenzymes and decreases of glucose and uric acid. There were interferences of energy metabolism pathways in serum, heart, and liver tissues. After three days, the experimental group developed cardiac conduction block and ventricular arrhythmia. Ventricular fibrillation and ventricular flutter appeared in acute Karoshi group. Echocardiogram showed ejection fraction and left ventricular short axis shortening rate decreased. The histological examination showed granular swelling and sarcoplasmic condensation in myocardium and increased dark neurons in the brain stem. The combination of differential metabolites of serum urea, methionine and phenylalanine was highly correlated with Karoshi with a diagnostic rate of 90.6%. Conclusion Acute Karoshi can trigger a cascade reaction of metabolic, functional and morphological changes. The mechanism of death, especially central failure and sudden cardiac death, may be associated with multi-organ failure.
Keywords:
本文引用格式
刘霞, 李嘉敏, 郑永霞, 肖旭东, 于晓军.
LIU Xia, LI Jia-min, ZHENG Yong-xia, XIAO Xu-dong, YU Xiao-jun.
人类过劳死呈年轻化趋势[1-6]。传统过劳死是指存在明确的劳动关系和过劳死亡过程的前提下,因体力透支诱发自身基础性疾病急性发作而导致的死亡[7]。研究[8-10]证明,不存在疾病时,过劳也可导致死亡。过度劳累可出现精神障碍、抑郁症及自杀情况[11],提示过劳存在一定的中枢神经系统损害。急性过劳死指短时间内超负荷工作,无论有无基础疾病,都有可能导致死亡。过劳死亡的尸体检验仅表现为非特异性心血管病变且病变程度较轻[12]。因此,在法医学实践中缺乏足够诊断过劳死亡的鉴定依据和指标。本研究拟采用大鼠负重游泳合并睡眠剥夺的方式,建立急性过劳死亡的动物模型,通过代谢-功能-形态三方面综合性观察,探讨急性过劳死的发生和死亡机制及其特异性诊断指标。
1 材料与方法
1.1 动物模型及分组
SD大鼠60只,雄性,清洁级,体质量250~300 g,12~16周龄,由汕头大学医学院实验动物中心提供。随机选取15只作为对照组,余45只为实验组。
参照文献[10,13-16]建立大鼠过劳死模型:大鼠负重体质量12%时,可自行浮出水面,力竭时下沉,此时拉出上岸休息后,再放回水中,继续负重游泳,每日累计游泳1 h。力竭性游泳6 d(负重游泳约1 h/d)并睡眠剥夺(游泳后放入水深3.5 cm、32~34 ℃的水箱)。对照组常规饲养和休息,实验组死亡大鼠归为急性过劳死组,余为过劳存活组,记录精神、活动、饮食、体质量、大小便等表现。第7天连续观察24 h,将未死亡大鼠断颈处死。所有大鼠均在死后立即颈静脉采血,分离血清,-80 ℃保存。提取脑、心、肺、肝、脾、胃、肠器官。其中,脑、心、肝部分组织保存于-80 ℃下用于后续代谢组学分析,其余组织则进行常规HE染色组织病理学检查。
本研究已获得汕头大学医学院医学实验动物伦理委员会的审批(审批文号:SUMC2017-169)。
1.2 仪器和试剂
Vevo® LAZR光声-超声成像平台(加拿大FUJIFILM VisualSonics公司),URIT-8021A全自动生化分析仪(桂林优利特医疗电子有限公司),BL-420N信息化信号采集与处理系统(成都泰盟科技有限公司),7890A/5975C气相色谱质谱联用仪(美国Agilent公司),氨基酸标准品混合溶液、DL-正亮氨酸(德国Sigma公司);N-叔丁基二甲基甲硅烷基-N-甲基三氟乙酰胺+1%叔丁基二甲基氯硅烷(N-tert-butyldimethylsilyl-N-methyltrifluoroacetamide+1% tert-butyldimethylchloro-silane,MTBSTFA+1% TBDMCS;美国Regis公司)。
1.3 检测方法
1.3.1 尸体检查
对各组大鼠的肝、脾、脑、心、肺、胃、肠等进行大体解剖观察,对各组大鼠的肝、脾进行组织病理学观察。
1.3.2 心电监测
将大鼠麻醉(腹腔注射3%戊巴比妥,30 mg/kg)后固定在鼠板上,采用BL-420N信息化信号采集与处理系统记录心电图和呼吸节律,每天定时监测,10 min/次,其中濒死大鼠(温度计插入大鼠肛门2 cm测肛温<32 ℃;夜间无食物摄入;无负重状态下鼻孔不能浮出水面;不能保持清醒)监测至死,连续记录大鼠Ⅱ导联心电、呼吸,观察心率、心律、呼吸频率改变。
1.3.3 超声心动图检测
选取实验开始后3、5 d过劳存活大鼠和对照组大鼠各5只,乙醚持续麻醉后,使用Vevo® LAZR光声-超声成像平台测量射血分数、左心室短轴缩短率、舒张末期左心室质量指数、收缩期左心室容积等。根据左心室射血分数评价心力衰竭严重程度。
1.3.4 血清生物化学分析
随机取急性过劳死组、过劳存活组和对照组的大鼠血清(各8只),在URIT-8021A全自动生化分析仪上检测丙氨酸转氨酶、天冬氨酸转氨酶、C反应蛋白、尿素、尿酸、葡萄糖、肌酸激酶、肌酸激酶同工酶、乳酸脱氢酶。
1.3.5 代谢组学检测
取100 μL血清、50 mg脑、50 mg心、50 mg肝分别置于离心管。其中,血清加入预冷甲醇800 μL,漩涡振荡1 min,器官组织加甲醇1 mL研磨,-30 ℃静置10 min;4 ℃,12 000×g离心10 min,取上清液200 μL置于进样瓶,加0.5 mmol/L正亮氨酸内标物20 μL(定量),剩余上清液0 ℃储存。70 ℃下氮气吹15 min,加二氯甲烷20 μL,再吹3 min,加甲氧胺15 mg和吡啶1 mL的混合液60 μL,37 ℃肟化16 h,加MTBSTFA+1% TBDMCS 60 μL,37 ℃孵育1 h,取1 μL上7890A/5975C气相色谱质谱联用仪检测。进样口温度230 ℃,接口温度290 ℃。质谱条件:采用电子轰击(electron impact,EI)离子源,电离能量70 eV,离子源温度230 ℃,四级杆温度150 ℃,质荷比(m/z) 35~800。
1.4 数据处理和统计方法
使用SPSS 20.0软件(美国IBM公司)处理各组数据,包括体质量变化、超声心动图数据、血清生化指标,以
用R语言软件4.3.0(
将质谱峰强度、保留时间导入ChemStation软件(美国Agilent公司),用MS SEARCH 2.0软件(美国Agilent公司)进行定性,通过人类代谢组学数据库(human metabolomics database,HMDB;
2 结果
2.1 行为观测
实验组大鼠表现为精神萎靡,活动、饮食减少,易激惹、攻击性增强,毛发凌乱、无光泽,肌张力下降,不思饮食、体质量下降约6%~7%,肛温降低(最低32.5 ℃以下),粪便稀溏。其中,急性过劳死组大鼠更严重,呈站立不稳,大鼠死亡率达33.3%(15/45)。对照组大鼠体质量增加约6%(表1)。
表1
各组大鼠实验前后的体质量变化 (
Tab. 1
| 组别 | n | 实验前 | 实验第7天 |
|---|---|---|---|
| 对照 | 15 | 297.56±8.50 | 315.11±14.95 |
| 急性过劳死 | 15 | 295.67±9.04 | 273.93±11.071) |
| 过劳存活 | 30 | 294.80±5.96 | 275.10±7.811) |
2.2 心电变化
心电图检查发现:对照组大鼠心率(432±49)次/min,呼吸(74±15)次/min。实验组大鼠(过劳存活组,急性过劳死组)第1~2天均出现心动过速;第3天后出现心电传导阻滞,伴发室性心律失常;猝死前出现心室颤动和扑动。过劳存活组大鼠心率(181±30)次/min,呼吸(32±12)次/min,急性过劳死组大鼠心率(67±28)次/min,呼吸为(64±15)次/min(图1)。
图1
图1
心电图和呼吸检测
选取各组具有代表性(或接近中位数)的值。
Fig. 1
Electrocardiogram and respiratory monitoring
2.3 超声心动图
过劳存活组第1~5天超声心动图示射血分数、左心室短轴缩短率随过劳时间延长而降低,舒张末期左心室质量指数、收缩期左心室容积随过劳时间延长而升高,第5天射血分数和左心室短轴缩短率较对照组下降明显(表2)。
表2
各组大鼠超声心动图数据统计 (n=5,
Tab. 2
| 指标 | 对照组 | 实验第3天 | 实验第5天 |
|---|---|---|---|
| 射血分数/% | 87.67±7.51 | 67.54±9.521) | 56.11±8.411) |
| 左心室短轴缩短率/% | 58.23±5.32 | 36.09±7.141) | 29.21±5.631) |
| 舒张末期左心室质量指数/(g·m-2) | 774.76±14.37 | 788.67±21.861) | 809.96±68.391) |
| 收缩期左心室容积/μL | 19.41±2.37 | 23.70±4.921) | 42.80±6.781) |
2.4 血清生化分析
实验组(急性过劳死组、过劳存活组)丙氨酸转氨酶、天冬氨酸转氨酶、肌酸激酶同工酶等肝功能和心肌损害指标均升高,葡萄糖和尿酸下降,各组C反应蛋白炎症指标差异无统计学意义(表3)。
表3
各组大鼠血清生化指标 (n=8,
Tab. 3
| 指标 | 对照组 | 急性过劳死组 | 过劳存活组 |
|---|---|---|---|
| 丙氨酸转氨酶/(U·L-1) | 38.20±4.97 | 92.20±3.961) | 88.00±6.481) |
| 天冬氨酸转氨酶/(U·L-1) | 79.20±4.32 | 346.00±47.601) | 239.80±21.941) |
| 丙氨酸转氨酶/天冬氨酸转氨酶 | 0.48±0.07 | 0.27±0.041) | 0.37±0.021) |
| C反应蛋白/(mg·L-1) | 0.38±0.19 | 0.40±0.20 | 0.44±0.19 |
| 尿素/(mmol·L-1) | 2.16±0.56 | 18.77±3.141) | 17.03±5.381) |
| 尿酸/(μmol·L-1) | 285.00±132.86 | 194.20±14.171) | 163.00±23.891) |
| 葡萄糖/(mmol·L-1) | 10.68±0.74 | 8.57±0.471) | 7.86±0.601) |
| 肌酸激酶/(U·L-1) | 809.40±38.05 | 4 604.20±230.261) | 5 866.40±263.141) |
| 肌酸激酶同工酶/(U·L-1) | 118.20±7.66 | 452.40±110.231) | 710.80±21.151) |
| 乳酸脱氢酶/(U·L-1) | 316.00±56.05 | 686.20±25.361) | 757.40±154.281) |
2.5 尸体检验
尸体解剖:实验组(急性过劳死亡组和过劳存活组)肝、脾明显缩小,被膜皱缩,颜色变浅。脑、心、肺组织颜色较淡,血管收缩明显;胃弥漫出血,急性过劳死亡组尤为严重,肠管胀气。余各组器官均呈淤血改变。
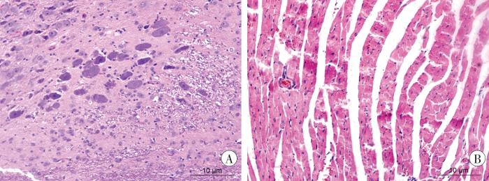
组织病理学检验:急性过劳死组大鼠脑干暗神经元增多,左心室心肌颗粒性肿胀、肌质凝集,心肌间隙疏松、水肿(图2);实验组(急性过劳死亡组和过劳存活组)肝细胞脂肪变性,脾白髓增多,脾窦萎陷、贫血明显,急性过劳死组病理学改变均较过劳存活组严重;对照组无明显异常。实验组肺组织均未见异常表现。
图2
图2
急性过劳死组大鼠的组织病理学改变(HE×40)
A:脑干;B:左心室心肌。
Fig. 2
Histopathological changes of rats in acute Karoshi group (HE×40)
2.6 代谢组学
PCA及PLS-DA得分图显示,各实验组的血清、心肌、肝组织代谢物聚类明显,提示代谢轮廓存在差异性,以血清、心肌为著,而脑组织不存在明显的聚类改变。PLS-DA法建立的模型(图3)显示,心肌急性过劳死组和过劳存活组的代谢轮廓差异显著,该模型R2X=0.226,R2Y=0.968,Q2=0.671,模型采用响应排序检验得到R2Y截距=0.182,Q2Y截距=-0.264,提示PLS-DA模型泛化能力尚可。在PLS-DA得分散点图中,每一个点代表该份血清的总体代谢特征,提示两组大鼠心肌代谢轮廓有差异。
图3
图3
心肌SIMCA分析结果
A:PCA图;B:PLS-DA散点得分图,绿色表示过劳存活组,蓝色表示急性过劳死组;C:响应排序检验图。
Fig. 3
Results of myocardial SIMCA analysis
2.6.1 差异代谢物
2.6.1.1 心肌
和对照组相比,实验组丝氨酸、氨基丁酸、琥珀酸、蛋氨酸、二十二碳六烯酸、组氨酸、二甲基甘氨酸、葡萄糖苷8种代谢物心肌表达量降低;17种代谢物明显升高,包括尿素、甘氨酸、脯氨酸、磷酸盐、谷氨酸、天门冬氨酸、胸腺嘧啶、胆固醇、次亚麻油酸、肉豆蔻醛、碳酸盐、苏氨酸、异亮氨酸、苯丙氨酸、丙氨酸、天门冬酰胺、亚油酸,均P<0.05、VIP>1。
相较于急性过劳死组,过劳存活组表现为延胡索酸、琥珀酸、花生四烯酸等8种代谢物明显降低,而脯氨酸、尿素、磷酸3种代谢物表达量明显升高,均P<0.05、VIP>1(附表1)。
心肌代谢通路分析结果显示,实验组7种差异性代谢物的变化趋势一致,扰乱代谢物主要有:(1)三磷酸腺苷降解产物二磷酸腺苷和磷酸盐显著增加;(2)延胡索酸、琥珀酸、蛋氨酸、碳酸盐等波动;(3)四氢叶酸增多,丝氨酸、组氨酸下降;(4)氨基丁酸、花生四烯酸含量降低;(5)谷氨酸、脯氨酸、甘氨酸、天冬氨酸、蛋氨酸等波动,尿素含量增加。这些代谢物参与11条不同的代谢路径,包括不饱和脂肪酸的生物合成途径、尿素代谢途径、丙氨酸代谢途径等(图4)。
图4
图4
心肌部分代谢通路图
左侧纵向数字代表碳原子个数,横向数字代表双键数量,方框内数字代表EC编号[酶学委员会(Enzyme Commission)为酶所制作的一套编号分类方法]。圆圈代表代谢物。带箭头的线条:绿色代表通路激活的方向(产物多于代谢物),黑色代表通路未激活。
Fig. 4
Partial metabolic pathway diagram of myocardium
2.6.1.2 血清
图5
图5
共同诊断潜能物质的层状聚类分析树
Fig. 5
Layered clustering analysis tree ofcommon diagnostic potential substances
图6
图6
血清中16种具相同趋势的共同差异脂质的热图
图中同一列代表同一组平均值比例,同一行代表同一差异代谢物。每一行代表某种代谢物的平均值在该组中与相应对照组的比例,不同颜色代表不同比例。绿色代表该样品中该物质在该组的相对含量比对照组低,反之,红色代表高。
Fig. 6
Heat map of 16 common differential lipidswith the same trend in serum
2.6.1.3 肝
三组共22种差异代谢物VIP>1、P<0.05。与对照组相比,急性过劳死组有16种差异代谢物,其中尿素、丙氨酸、组氨酸等10种氨基酸表达量升高;谷氨酸、苯丙氨酸、乳酸等6种代谢物肝表达量降低。与过劳存活组相比,急性过劳死组有9种差异代谢物,除琥珀酸降低,组氨酸、酪氨酸、苯丙氨酸、谷氨酸等8种氨基酸升高。
心肌和血清检测到的甘氨酸、丝氨酸和二甲基甘氨酸中,除了甘氨酸,其余2种物质都相对减少。此外,在实验组心肌中谷氨酸、甘氨酸明显上升,而组氨酸都相对降低。
3 讨论
3.1 急性过劳死模型的评价和比较
本研究采取驱使大鼠负重游泳的外周性躯体疲劳,结合持续性睡眠剥夺的中枢性精神疲劳,建立急性过劳死模型,较好地模拟了人类短时间内高强度劳作和缺乏有效休息的心理、行为过程。综合观测饮食、体质量和行为状态等表现,发现各组C反应蛋白含量差异无统计学意义,提示大鼠游泳本能的力竭性运动不会引起明显应激性或感染性炎症反应。
3.2 急性过劳死代谢-功能-形态三方面关联分析
实验组血清、心肌和肝的差异性代谢物共性结果为脂肪、蛋白质分解,游离脂肪酸、氨基酸增多,糖及其能量循环异常,代谢率增加,尿素氮增多,提示急性过劳可致血糖耗尽,脂肪β氧化代偿性增强。同时,肌肉等组织蛋白质分解代谢增加,游离氨基酸增加,磷酸戊糖途径的能量代谢率增加。
3.2.1 心脏
3.2.2 脑组织
3.2.3 血清和肝组织
实验组血清中丙氨酸转氨酶、天冬氨酸转氨酶、尿素、肌酸激酶、肌酸激酶同工酶等高于对照组,死亡组高于存活组,提示急性身心俱疲的过劳存在心、肝、肾等多器官衰竭代谢紊乱。实验组肝组织22种差异代谢物中,尿素、丙氨酸等10种氨基酸明显升高,但几乎未见差异性脂肪酸类物质。同时,实验组肝缩小、肝细胞脂肪变性,可能是急性力竭缺氧性运动导致基础代谢率增加,从三酰甘油供能转到氨基酸糖异生供能,再脂肪氧化,有害代谢物堆积导致肝功能损害。
综上,本研究通过建立大鼠躯体疲劳合并睡眠剥夺急性过劳模型[16],证实脑、心、肝、肾等重要器官代谢-功能-形态三方面存在相互作用的恶性循环,特别是心肌损害性急性心力衰竭和心律失常、脑干暗神经元增多的失代偿性中枢性功能衰竭,可能为重要的死亡机制。血清尿素、蛋氨酸、苯丙氨酸3种差异代谢物组合具有较高的急性过劳死特异性诊断价值。
参考文献
Overwork is a silent killer of Chinese doctors: A review of Karoshi in China 2013—2015
[J].
Overwork-induced sudden death: A sword of damocles hanging over Chinese medical staff
[J].
新冠疫情中工伤认定问题的法律探析
[J].
Legal analysis on the identification of work-related injuries in COVID-19 epidemic
[J].
劳动过程视角下程序员过劳问题研究及对社会工作介入的启示——以某市A互联网公司为例
[D].
Research on Programmer overwork from the perspective of labor process and its implications for social work intervention — A case study of A Internet company
[D].
Perspectives on compensation and legislation of death due to work overload — Karoshi
[J].
Burnout in healthcare: A sign of death by overwork for doctors in China
[J].
我国“过劳死”工伤认定问题研究
[D].
The research on Karoshi identification of work-related injury
[D].
大鼠过劳模型心脏Cx43和Cx45的表达
[J].
Expression of Cx43 and Cx45 in cardiomyocytes of an overworked rat model
[J].
Karoshi may be a consequence of overwork-related malignant arrhythmia
[J].
过度疲劳状态模型大鼠心脏功能及心肌细胞凋亡调控因子的变化
[J].
Changes of cardiac function and myocardial apoptosis regulatory factors in rat models of excessive fatigue
[J].
我国“过劳死”工伤认定问题立法研究
[D].
Legislative research on the identification of work-related injury caused by overwork in China
[D].
过劳死的概念、现状及法医病理学思考
[J].
The concept, current situation, and forensic pathological thinking of death from overexertion
[J].
疲劳型亚健康大鼠模型的构建
[J].
Construction of a sub-health fatigue rat model
[J].
核桃低聚肽对亚健康疲劳大鼠的影响
[J].
Effect of walnut oligopeptide on sub-health fatigue rats
[J].
Recovery from fatigue: Changes in local brain 2-[18F]fluoro-2-deoxy-D-glucose utilization measured by autoradiography and in brain monoamine levels of rat
[J].
A rat model of central fatigue using a modified multiple platform method
[J].
大鼠力竭性运动后不同时相心肌结构及心电图动态变化的研究
[D].
Study on dynamic changes of myocardial structure and electrocardiogram at different stages after exhaustive exercise in rats
[D].
Relationship between job stress and hypo-high-density lipoproteinemia of Chinese workers in Shanghai: The Rosai Karoshi study
[J].
Extraordinary unremitting endurance exercise and permanent injury to normal heart
[J].
Glycine minimizes reperfusion injury in a low-flow, reflow liver perfusion model in the rat
[J].
大学生运动员过度训练的诊断及其防治
[J].
Diagnosis and prevention of overtraining of college athletes
[J].
急性体力负荷过度
[J].
Acute physical overload
[J].
Training and overtraining: An overview and experimental results in endurance sports
[J].
过度训练后大鼠心肌损伤及磷酸肌酸钠对其影响的研究
[D].
Study on myocardial injury after overtraining in rats and the effect of creatine phosphate sodium on it
[D].
过度训练的生化诊断
[J].
Biochemical diagnosis of overtraining
[J].
耐力性运动员超声心动图及心率变异性特征的实验研究
[D].
Experimental study on the characteristics of echocardiography and heart rate variability of endurance athletes
[D].
Severe diffuse axon injury in chronic alcoholic rat medulla oblongata following a concussion blow
[J].
过度训练大鼠大脑微血管超微结构和三维构筑变化
[J].
Changes of ultrastructure and three-dimensional architecture of cerebral microvascular in overtraining rats
[J].
脑-颈髓轴索损伤的解剖和取材新方法及其应用
[J].
A new method of anatomy and sampling of brain-cervical spinal cord axonal injury and its application
[J].
/
| 〈 |
|
〉 |
