法医学杂志 ›› 2023, Vol. 39 ›› Issue (1): 88-90.DOI: 10.12116/j.issn.1004-5619.2021.410911

• 案例报道 • 上一篇    下一篇

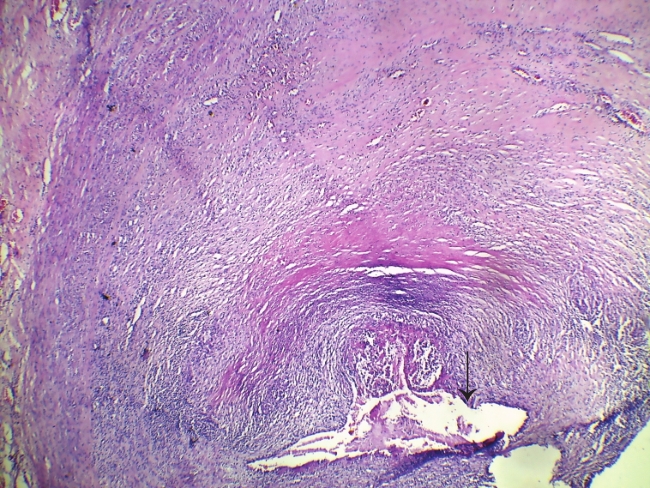
孤立性主动脉窦粥样硬化斑块致冠状动脉开口狭窄猝死1例

王郁芳1(), 冯向阳2, 彭一林1, 官鹏3, 黄飞骏3, 严赫1()   

  1. 1.中南大学基础医学院法医学系,湖南 长沙 410000
    2.新疆医科大学基础医学院法医学系,新疆 乌鲁木齐 830000
    3.四川大学华西基础医学与法医学院法医病理学教研室,四川 成都 610041
  • 收稿日期:2021-09-07 发布日期:2023-02-25 出版日期:2023-02-28
  • 通讯作者: 严赫
  • 作者简介:严赫,男,博士研究生,从事法医病理学、法医毒理学研究和鉴定;E-mail:yanheaoogle@hotmail.com
    王郁芳(1996—),女,硕士研究生,主要从事法医病理学、法医毒理学研究和鉴定;E-mail:1505265729@qq.com

Sudden Death Due to Coronary Artery Stenosis Caused by Isolated Atherosclerotic Plaque of Aortic Sinus: A Case Report

  • Received:2021-09-07 Online:2023-02-25 Published:2023-02-28

关键词: 法医病理学, 猝死, 冠状动脉开口狭窄, 主动脉窦, 粥样硬化

中图分类号: