法医学杂志 ›› 2023, Vol. 39 ›› Issue (6): 535-541.DOI: 10.12116/j.issn.1004-5619.2023.430317

• 论著 •    

傅里叶变换红外光谱术用于急性及陈旧性心肌梗死的法医病理学诊断

田甜1,2(), 廖信彪3, 张付3, 邓恺飞1, 张吉1, 黄平1, 陈忆九1, 张建华1()   

  1. 1.司法鉴定科学研究院 上海市法医学重点实验室 司法部司法鉴定重点实验室 上海市司法鉴定专业技术服务平台,上海 200063
    2.山西医科大学法医学院,山西 晋中 030600
    3.广东省公安厅刑事技术中心 法医病理学公安部重点实验室,广东 广州 510050
  • 收稿日期:2023-03-26 发布日期:2024-01-17 出版日期:2023-12-25
  • 通讯作者: 张建华
  • 作者简介:田甜(1993—),女,博士研究生,主要从事法医病理学研究;E-mail:13620619303@163.com
  • 基金资助:
    国家重点研发计划资助项目(2022YFC3302002);国家自然科学基金资助项目(82072115);中央级公益性科研院所资助项目(GY2022G-3);上海市法医学重点实验室资助项目(21DZ2270800);上海市司法鉴定专业技术服务平台资助项目;法医病理学公安部重点实验室开放课题资助项目(GAFYBL202206)

Forensic Pathological Diagnosis of Acute and Old Myocardial Infarction Using Fourier Transform Infrared Spectroscopy

Tian TIAN1,2(), Xin-biao LIAO3, Fu ZHANG3, Kai-fei DENG1, Ji ZHANG1, Ping HUANG1, Yi-jiu CHEN1, Jian-hua ZHANG1()   

  1. 1.Shanghai Key Laboratory of Forensic Medicine, Key Laboratory of Forensic Science, Ministry of Justice, Shanghai Forensic Service Platform, Academy of Forensic Science, Shanghai 200063, China
    2.School of Forensic Medicine, Shanxi Medical University, Jinzhong 030600, China
    3.Key Laboratory of Forensic Pathology, Ministry of Public Security, Criminal Technology Center of Guangdong Provincial Public Security Department, Guangzhou 510050, China
  • Received:2023-03-26 Online:2024-01-17 Published:2023-12-25
  • Contact: Jian-hua ZHANG

摘要:

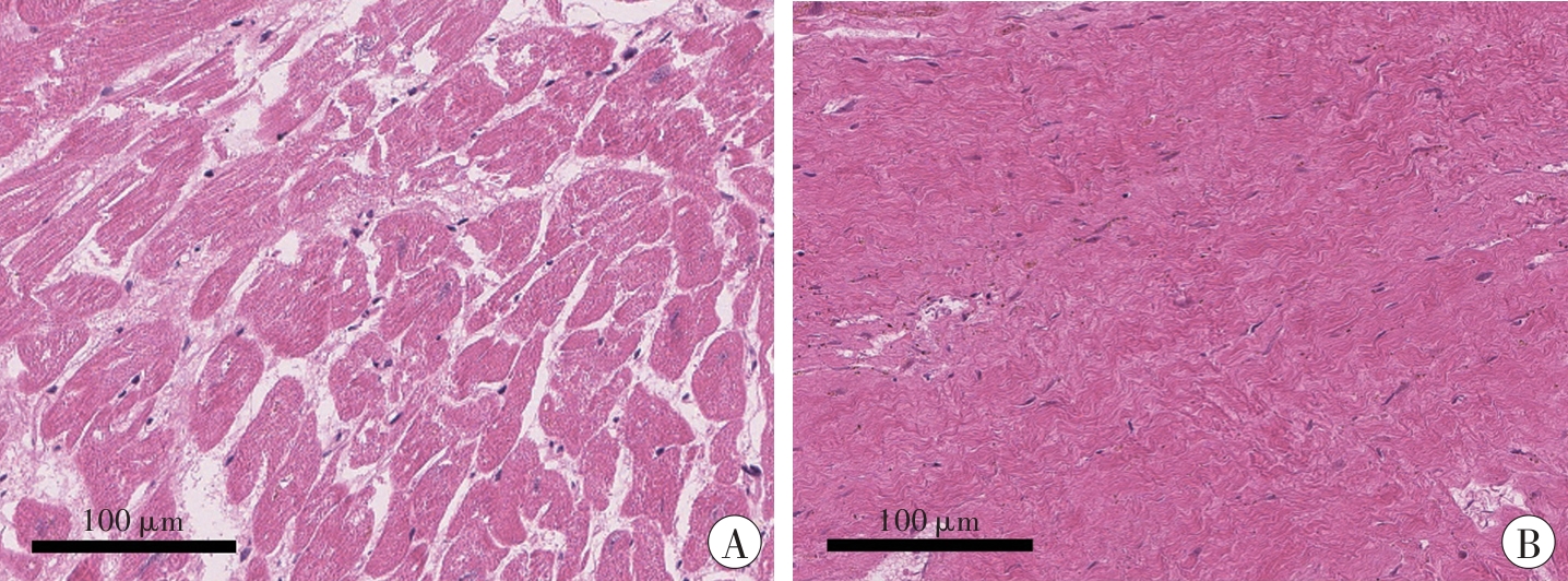
目的 利用傅里叶变换红外光谱术(Fourier transform infrared spectroscopy,FTIR)对不同病理变化阶段的心肌梗死组织进行光谱分析,以实现对急性和陈旧性心肌梗死的法医病理学诊断。 方法 以苏木精-伊红(hematoxylin-eosin,HE)染色和免疫组织化学(immunohistochemistry,IHC)染色结果为参考依据,采集冠状动脉粥样硬化性心脏病猝死组左心室前壁的早期缺血心肌、坏死心肌、心肌纤维化组织以及正常对照组心肌的FTIR数据,使用多元统计分析方法进行数据分析。 结果 对照心肌、早期缺血心肌和坏死心肌的平均归一化光谱较为相似,但平均二阶导数光谱存在较大差异,早期缺血心肌中各蛋白质二级结构的峰强度均明显高于其他类型心肌,坏死心肌α-螺旋的峰强度最低。心肌纤维化组织平均归一化光谱的酰胺Ⅰ和酰胺Ⅱ峰位明显向高波数方向移动,酰胺Ⅱ和酰胺Ⅲ的峰强度高于其他各类型心肌,平均二阶导数光谱在1 338、1 284、1 238和1 204 cm-1处峰强度明显增强。主成分分析(principal component analysis,PCA)和偏最小二乘-判别分析(partial least square-discriminant analysis,PLS-DA)结果显示,FTIR可区分不同类型的心肌组织。 结论 FTIR技术具有对急性和陈旧性心肌梗死诊断的潜力,为心脏性猝死的死因分析提供了一种新的依据。

关键词: 法医病理学, 傅里叶变换红外光谱术, 急性心肌梗死, 陈旧性心肌梗死, 主成分分析, 偏最小二乘-判别分析

Abstract:

Objective Fourier transform infrared spectroscopy (FTIR) was used to analyze myocardial infarction tissues at different stages of pathological change to achieve the forensic pathology diagnosis of acute and old myocardial infarction. Methods FTIR spectra data of early ischemic myocardium, necrotic myocardium, and myocardial fibrous tissue in the left ventricular anterior wall of the sudden death group of atherosclerotic heart disease and the myocardium of the normal control group were collected using hematoxylin-eosin (HE) and immunohistochemistry (IHC) staining as a reference, and the data were analyzed using multivariate statistical analysis. Results The mean normalized spectra of control myocardium, early ischemic myocardium and necrotic myocardium were relatively similar, but the mean second derivative spectra were significantly different. The peak intensity of secondary structure of proteins in early ischemic myocardium was significantly higher than in other types of myocardium, and the peak intensity of the α-helix in necrotic myocardium was the lowest. The peaks of amide Ⅰ and amide Ⅱ in the mean normalized spectra of myocardial fibrous tissue significantly shifted towards higher wave numbers, the peak intensities of amide Ⅱ and amide Ⅲ were higher than those of other types of myocardium, and the peak intensities at 1 338, 1 284, 1 238 and 1 204 cm-1 in the mean second derivative spectra were significantly enhanced. Principal component analysis (PCA) and partial least square-discriminant analysis (PLS-DA) showed that FTIR could distinguish different types of myocardium. Conclusion FTIR technique has the potential to diagnose acute and old myocardial infarction, and provides a new basis for the analysis of the causes of sudden cardiac death.

Key words: forensic pathology, Fourier transform infrared spectroscopy (FTIR), acute myocardial infarction, old myocardial infarction, principal component analysis, partial least square-discriminant analysis

中图分类号: