法医学杂志 ›› 2025, Vol. 41 ›› Issue (3): 286-288.DOI: 10.12116/j.issn.1004-5619.2024.240902

• 案例报道 • 上一篇    下一篇

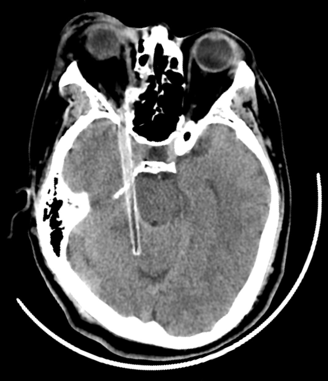
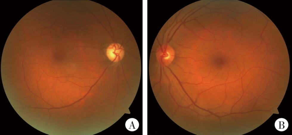
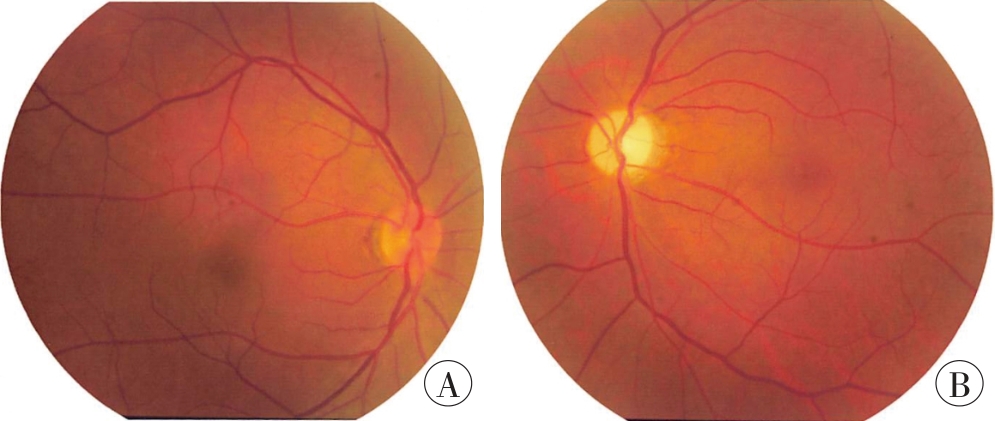
眶内眼球外异物致视神经损伤2例

刘冬梅1(), 朱英芝2(), 于凯丽3, 陈捷敏1, 刘良4   

  1. 1.司法鉴定科学研究院 上海市法医学重点实验室 司法部司法鉴定重点实验室 上海市司法鉴定专业技术服务平台,上海 200063
    2.湖北崇新司法鉴定中心,湖北 武汉 430415
    3.潍坊龙城司法鉴定所,山东 潍坊 262200
    4.华中科技大学同济医学院法医学系,湖北 武汉 430030
  • 收稿日期:2024-09-05 发布日期:2025-08-29 出版日期:2025-06-25
  • 通讯作者: 朱英芝
  • 作者简介:刘冬梅(1987—),女,主检法医师,研究实习员,主要从事法医临床学研究和鉴定;E-mail:liudm@ssfjd.cn
  • 基金资助:
    上海市司法鉴定协会资助项目(SHSFJD2024-002)

  • Received:2024-09-05 Online:2025-08-29 Published:2025-06-25

关键词: 法医学, 视神经损伤, 颅脑损伤, 眶内眼球外异物, 视力下降

中图分类号: